뮤지컬 배우 차지연이 발가락 골절 부상 후 건강 상태를 알렸다.
28일 차지연은 개인 SNS를 통해 "제 소식을 들으시고 많이 놀라셨을 여러분들께 먼저 죄송하다는 말씀드린다"며 "공연 연습 도중 오른쪽 네 번째 발가락을 심하게 부딪힌 뒤 통증이 심해서 급히 응급실에 가본 결과 골절 진단을 받고 순간 심장이 덜컹했습니다. 오로지 공연에 대한 생각 외에는 아무것도 생각나지 않았다"고 밝혔다.
그는 "다음 날 일찍 바로 나사를 박는 수술을 했고 오늘이 일주일이 되는 날이고 회복에 전념 중"이라며 "수술 이후 무리 없이 활동을 할 수 있는 시기는 6주 진단으로 받았지만 기다려주신 관객분들과 애써주신 창작진분들 그리고 제작진분들께도 큰 피해가 되고 있는 것을 누구보다 잘 알고 있기에 하루라도 빨리 복귀를 하고 싶은 마음만 간절했다"고 토로했다.
이어 "아직은 불편한 상태로 무대에 서겠지만 많은 분들의 양해와 도움으로 그리고 최대한 조심하고 신중하게 무대에 설 것"이라고 복귀에 대한 의지를 드러냈다.
그러면서 "넓은 마음으로 기다려주신 관객분들께 진심으로 다시 한번 죄송하고 감사하다는 말씀드린다"고 전했다.
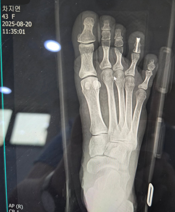
차지연은 이와 함께 부상 당한 발 엑스레이 사진을 공개하기도 했다.
앞서 연극 '프리마 파시' 제작사는 22일 "테사 역 차지연 배우가 연습 중 골절상을 입어 전문의 소견에 따라 당분간 치료와 회복에 전념할 계획"이라고 차지연의 부상 소식을 알렸다.
한편 연극 '프리마 파시'는 지난 27일부터 충무아트센터 중극장 블랙에서 공연을 시작했다.
◆ 이하 차지연 글 전문.
안녕하세요, 배우 차지연입니다.
제 소식을 들으시고 많이 놀라셨을 여러분들께 먼저 죄송하다는 말씀드립니다.
공연 연습 도중 오른쪽 네 번째 발가락을 심하게 부딪힌 뒤 통증이 심해서 급히 응급실에 가본 결과 골절 진단을 받고 순간 심장이 덜컹했습니다. 오로지 공연에 대한 생각 외에는 아무것도 생각나지 않았습니다.
다음 날 일찍 바로 나사를 박는 수술을 했고 오늘이 일주일이 되는 날이고 회복에 전념하고 있습니다.
수술 이후 무리 없이 활동을 할 수 있는 시기는 6주 진단으로 받았지만 기다려주신 관객분들과 애써주신 창작 진 분들 그리고 제작진분들께도 큰 피해가 되고 있는 것을 누구보다 잘 알고 있기에 하루라도 빨리 복귀를 하고 싶은 마음만 간절했습니다. 다행히 생각보다 회복이 빠르게 진행되고 호전되고 있어 복귀 시기를 앞당길 수 있었습니다.
아직은 불편한 상태로 무대에 서겠지만 많은 분들의 양해와 도움으로 그리고 최대한 조심하고 신중하게 무대에 서겠습니다.
넓은 마음으로 기다려주신 관객분들께 진심으로 다시 한번 죄송하고 감사하다는 말씀드립니다. 그리고 최선을 다해 도와주신 창작 진 분들, 쇼노트 제작진 여러분들께도 진심으로 감사하다는 말씀 그리고 죄송하다는 말씀드리며 최선을 다해 무대에 설 것을 약속드립니다.
감사합니다.
<저작권자 © 스타뉴스, 무단전재 및 재배포 금지>






