
배슬기 심리섭 부부가 아들을 얻게 됐다.
배슬기는 7일 초음파 사진과 함께 "ㅋㅋㅋㅋㅋㅋ 너무 아들임"이라고 밝혔다.

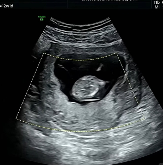
앞서 배슬기는 "올봄은 원 없이 꽃놀이했다. 마지막은 신난 우리 리슬이 12주차 초음파. 날 닮았나 아주 흥이 많아 가만히를 안 있네"라고 밝히며 초음파 영상에서 아기가 이리저리 움직이는 모습을 담기도 했다.
배슬기는 2020년 11월 2세 연하 유튜버 심리섭과 결혼한 이후 4년 만에 2세를 임신했다.
<저작권자 © 스타뉴스, 무단전재 및 재배포 금지>




