

추벽증후군은 최근 추미애 법무장관의 아들 덕에 잘 아려진 무릎관련 질병이다.
무릎을 꿇거나 많이 쪼그려 앉을 때 무릎 앞쪽에 소리가 나며 통증이 심해지는 경우가 있다. 무릎 안에는 활액막이 있는데 이 막의 역할은 무릎이 잘 미끄러질 수 있도록 연골액을 만들고 뼈 연골이나 물렁뼈에 영양과 혈액을 공급한다. 얇은 막이지만 태어나면서 계속 남아있어서 무릎 사이에서 자극을 받아 두꺼워지면 무릎을 구부릴 때 통증을 느끼게 된다.
무릎 내에 안쪽, 바깥쪽, 위쪽 아래쪽에 총 4개의 추벽이 존재할 수 있으나 문제를 일으키는 것은 안쪽에 있는 내측 추벽이다. 내측에서 덮개뼈와 허벅지뼈 사이에서 두꺼워져서 무릎을 구부릴 때 끼어서 증상을 일으킨다. 정상적으로도 무릎 내측에 추벽이 있다고 해서 증상을 다 일으키지 않지만 50-70% 정도의 사람들도 내측에 추벽이 있더라도 아무런 증상 없이 생활 하기도 한다.
하지만 무릎을 폈다가 구부리는 절을 많이 한다든지 자전거, 그리고 계단을 오르는 경우에 추벽이 자극이 되어 통증을 일으킬 수 있다. 다쳐서도 추벽이 문제가 될 수 있는데 무릎을 자주 부딪힌 경우 추벽이 자극되어 두터워 질 수 있다. 이것을 ‘병적추벽증후군’ 이라고 한다.
나이가 젊은 경우는 무릎 연골뼈가 건강하여 문제가 되지 않지만 계속 방치하는 경우는 뼈연골을 긁게 되어 중년 이후에 추벽이 있는 부위에 관절염으로 진행하는 경우가 많다.
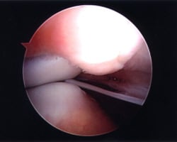
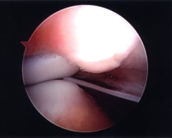
추벽의 증세는 무릎 앞쪽의 안쪽에 통증이 생기게 된다. 먼가 무릎을 구부릴 때 둔탁한 탄발음을 느끼는 경우도 있으며 이 것은 두터워진 추벽이 무릎을 폈다가 구부릴 때 덮개뼈와 허벅지 뼈 사이에서 잠시 걸렸다가 빠져나가면서 생기는 현상이다. 무릎 앞쪽에 있는 덮개뼈 안쪽을 눌러 보면 통증이 있고 무릎을 90도까지 구부린 후에 똑같이 만져보면 추격이 무릎 사이에서 빠져나가게 되어 통증이 사라지는 것이 특징이다. 일반 사진상에서는 나타나지 않기 때문에 확진은 MRI 나 관절 내시경을 통해서 확진하게 된다.

대부분 환자들은 수술없이 무릎 통증이 좋아진다. 주로 재활을 통해서 이루어지는데 무릎 염증을 줄이는데 중점을 두며 달리기나 자전거, 그리고 계단 너무 많이 오르는 것은 자제 할 필요가 있다. 심한 경우는 소염제가 도움이 되며 무릎 내측 마사지를 하면 효과가 있다. 특히 무릎 주변의 대퇴사두근이나 종아리 근육을 강하게 만드는 것도 중요합니다. 만약 보존적 치료에도 좋아지지 않고 MRI상에서 추벽이 두꺼운 경우에는 수술적 치료를 시행하게 된다.
정재훈 안산에이스병원 원장은 “다른 수술과 달리 관절내시경으로 치료를 하며 추벽을 제거해 줌으로 통증이 많이 좋아진다. 하루 입원이 필요하며 다음날 보조기나 기브스 없이 걸어 다닐 수 있다”며 “만일 무릎 앞쪽에 통증이 있으면서 소리가 나는 경우는 추벽이 존재 할 수 있으니 병원에 내원하여 진찰을 받아보는 것이 필요하다”고 조언했다.
<저작권자 © 스타뉴스, 무단전재 및 재배포 금지>